Browsing by Author "Abad Coronel, Cristian Gustavo"
Now showing 1 - 20 of 56
- Results Per Page
- Sort Options
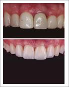
Publication Adhesive systems used in indirect restorations cementation: review of the literature(2019) Valdiviezo, Pamela; Abad Coronel, Cristian Gustavo; Naranjo, BelénAbstract: New technologies are changing the therapeutical options to do indirect restorations and new adhesive systems are continuously introduced to be used by clinicians. Different interactions between restorations, adhesive systems components, enamel and dentin require having criteria based on the selection of the adhesive system, ensuring the longevity of the restorations and the preservation of the biological remnant. The adhesion force to the dental tissue is one of the indicatives of the behavior of the adhesive systems and influences the behavior of the treatments with direct and indirect restorations. The objective of this search was to find the adhesive systems with the best results in terms of the adhesion strength of indirect restorations on the dental tissues. The search was conducted in two MEDLINE digital databases (PubMed), and the Cochrane Library with a search strategy based on the combination of MeSH (Medical Subject Headings) keywords. This systematic review used thePRISMA guide (Preferred Reporting Items for Systematic Reviews and Meta-Analysis). According to this review, the 3-step adhesive systems were the best performing and still are the gold standard for the cementing of indirect restorations. In addition, it can be concluded that self-etched adhesive systems reduce the time spent in clinical practice, however at the interface level they behave as permeable membranes more susceptible to degradation.Item Análisis Comparativo de las mallas digitales entre dos tipos de sistemas de escaneado y sus sistemas operativos(Universidad de Cuenca, 2021-04-29) Moreno Gálvez, Marcela Doménica; Abad Coronel, Cristian GustavoItem Análisis comparativo de las mallas digitales entre dos tipos de sistemas de escaneado y sus sistemas operativos(Universidad de Cuenca, 2020) Abad Coronel, Cristian Gustavo; Moreno Gálvez, DoménicaPublication Análisis comparativo de las mallas digitales entre dos tipos de sistemas de escaneado y sus sistemas operativos(2020) Moreno Galvez, Marcela Domenica; Abad Coronel, Cristian GustavoIn this pilot study, meshes were compared obtained in different resolution from two systems of acquisition and their respective software. Clearly, PrimeScan and CEREC SW 5.0 Software showed higher quantity and higher quality of triangles exported as well as a better distribution within the mesh, with more regular vertices and faces, compatible between the graphic and quantitative findings analyzed. The quality of digital printing is defined by two independent factors that are the truth or fidelity and precision. truth is obtained when comparing original geometry, i.e. the model reference master with the digitized model, while the precision is obtained by a intragroup comparison of digitized models.Item Análisis de peso estructural de resina de impresión Onx SprintRay para prótesis fija plural(Universidad de Cuenca, 2023-10-03) Lupú Flores, Billy Darlin; Pacurucu Mendieta, Miguel David; Abad Coronel, Cristian GustavoEl objetivo del presente estudio es proveer evidencia científica sobre el análisis del peso estructural de una prótesis fija plural de un material polimérico obtenida por técnica aditiva (3DPP), con la finalidad de ofrecer una alternativa viable para el tratamiento de prótesis fija plural e implantes dentales. Métodos. Se trabajó a partir de una estructura de resina impresa 3D de 4 piezas dentales que van desde las piezas 2.3 a 2.6, dicha estructura se sometió a fuerzas compresivas que simularon el sistema masticatorio del ser humano por medio de un equipo de ensayo universal, se realizó un análisis de elementos finitos 3D, para determinar la deformidad del material. Resultados. La masa de la estructura fue de 1,98 gr, en los ensayos de fuerzas compresivas soportó una carga de 1000,88 N, su distribución de tensión fue de 16,726 MPa; mientras que su fuerza tensional fue 143,916 MPa. En el análisis de elementos finitos de la estructura 3DPP realizado en el software Ansys, se observó una deformación con un valor de 0,001mm, y distribución de tensión del material de 15,36 MPa. En valores de estrés se registró un valor mínimo de 2533,4 MPa y un de máximo 12667 MPa. Conclusiones. Se determinó el peso estructural del material 3DPP, aportando información importante para tomar en consideración en la utilización de PPF, comprobando así la funcionalidad y desempeño de la misma.Item Análisis descriptivo de la resistencia a la fractura de un material CAD/CAM polimérico para prótesis fija plural temporal(Universidad de Cuenca, 2023-10-05) Bravo Lozano, Ariana Lucía; Bernal Merchán, Bryam Andrés; Abad Coronel, Cristian GustavoIntroduction: A provisional prosthesis is used in prosthodontics to improve esthetics, determination and/or function for a limited period. SprintRay OnX is a polymeric material, it is a 3D printing resin composed of class II hybrid nanoceramic particles, designed for the manufacture of provisional dental prostheses. Objective: Describe the fracture toughness property of a SprintRay ONX polymeric material. Materials and methods: The sample consisted of 5 provisional restorations made with 3D printing polymeric material (SprintRayOnX) for three-unit fixed dental prostheses. A metallic die was used and a digital impression of the prefabricated model was made using an intraoral scanner. For the fracture resistance test, the master typodont was fixed on the platform of the universal testing machine. Fracture testing was performed using the occlusally applied load compression mode on the pontic surface. Data from the study group were collected for statistical analysis, which was performed using a statistical program (SPSS v.25, IBM). Results: The arithmetic mean was 86.1194 N and the median was 82.2162 N. The maximum and minimum values were 114.6760 N and 73.1341 N respectively, with a range of variation of 41.5419 N. The variance was 223.674 N and the standard deviation of 14.9557317 N. Conclusion: For the polymeric CAD/CAM material (SprintRay ONX), an average value of 86.1 Newtons was reported in terms of its fracture resistance, an average of 82.2162 Newtons.Item Análisis digital de preparaciones para prótesis fija unitaria(2018) Castro Espinoza, Michelle Alexandra; Torres Jaramillo, María Camila; Abad Coronel, Cristian GustavoThe skills acquired by a student to perform dental preparation are very important for a good prognosis of prosthodontic treatment. Nowadays, with the advancement of technology, methods of digital analysis have emerged to evaluate dental preparations objectively. OBJECTIVE: Objectively analyze dental preparations for single dental crowns by using a digital software called Prepcheck®. MATERIALS AND METHODS: 30 dental preparations for single dental crowns were evaluated. Ivorina models were used and the preparations were made by students of the sixth semester of the Faculty of Dentistry of Universidad de Cuenca. The sample size was obtained based on the central limit theorem. The principles of total occlusal convergence, axial reduction, occlusal reduction, continuity of preparation margin, surface texture and insertion axis were evaluated by using Prepcheck® software. RESULTS: Total occlusal convergence and axial reduction predominated within the tolerance range (10 ° - 20 °, 1-1.5 mm respectively). An insufficient occlusal reduction was found in most preparations. There was a continuous margin at the level of the vestibular and lingual faces. All the preparations presented a smooth surface texture. Twenty-two preparations presented an adequate insertion axis. CONCLUSION: Total occlusal convergence, axial reduction and surface texture prevailed within the range established as acceptable. There was a low occlusal reduction. The continuity of the margin remained in the vestibular and lingual faces. The insertion axis of most preparations was adequate.Publication Analysis of the mesh resolution of an .STL exported from an intraoral scanner file(2022) Abad Coronel, Cristian Gustavo; Pendola, Martin; Mena Cordova, Nancy Cecilia; Cornejo, Julián; Romero Muñoz, Carla Estefania; Atria, Pablo J; Blatz, MarkusObjectives: This study aimed to provide information on the accuracy of exported digital files with the different resolutions available in the CEREC 4.6.2 software obtained by means of an intraoral scanner (IOS), in addition to establishing differences between materialized models with different exported resolutions, and how these different exported files can influence finite element analysis (FEA) simulations. Materials and Methods: The upper complete arch of 10 patients was scanned through an IOS (CEREC Omnicam 1.0/Dentsply Sirona). Files of three resolution meshes digitalized by a CAD software (Cerec SW, 4.6.2) high, medium and low (IOSH, IOSM, and IOSL) were exported. Each file was evaluated by a software (NETFABB) about the number of triangles obtained and compared with the number announced by the manufacturer. Also, with a superimposition with a specialized software (GEOMAGIC X), the digital models were compared. The files of each resolution were printed (Sprintray 3D Printer), and the printed models were scanned with IOS (Omnicam 1.0) and compared with the control group (intraoral scanned high-resolution file, IOSH). FEA simulations were imported into COMSOL and analyzed under different loading conditions. Results: The number of exported triangles coincided with that reported by the manufacturer. The digital models from files of different resolution did not show significant differences (less than 1.5 um) between each other. Models printed (H, M, L) from files of the same resolution mesh (H, M, L) did not show significant differences between them either in partial measures of the arch and neither in the complete arch. FEA showed significant differences in stress concentration between different exported models. Clinical Significance: Digital models can be exported and printed in three resolutions of the mesh, without differences clinically significative. On the other hand, for future FEA applications further research should be performed in order to determine the optimal number of triangles.Publication Anterior fiber-reinforced fixed partial dentures revisited(DENTISTRY TODAY, 2016-01-01) Abad Coronel, Cristian GustavoItem Anthropometry of the Upper Central Incisor: A Review of the Literature(Universidad de Cuenca, 2025-09-19) Molleturo Bermeo, Guisela Katalina; Viñan Romero, Tommy German; Abad Coronel, Cristian GustavoThe esthetic dimensions and proportions of the upper central incisors (UCI) are fundamental in dental and facial esthetics due to their prominence in the smile. This literature review aimed to establish the ideal width/length ratios of the UCIs. Nineteen relevant studies were identified after a search of 3 databases: PubMed, Scopus, and Springer. Results: Mean width/length ratios ranged from 80-85% in various populations. It has been corroborated that UCI dimensions present a significant difference between genders, with men showing larger dimensions in both width and height than women. The overall mean for males was 8.63 mm in width and 10.17 mm in length, while for females it was 8.32 mm and 9.36 mm, respectively. Conclusions: It is crucial to adapt dental treatments to individual patient characteristics to achieve functional and esthetic results. Factors such as gender, ethnicity and dental wear influence the dimensions and proportions, underlining the importance of individualizing dental treatments to optimize esthetic and functional results.Publication BOPT, una filosofía que nace analógica pero que debe transformarse en digital(2022) Abad Coronel, Cristian GustavoActualmente, las nuevas tecnologías son de gran utilidad para ejecutar tratamientos restauradores más precisos utilizando diversos equipamientos de adquisición de imágenes, diseño y fabricación, utilizando modernos materiales. El concepto BOPT es una terapia que tiene como objetivo conseguir una adecuada relación entre el tejido dentario, los tejidos blandos circundantes y la restauración protética. Utilizar la digitalización dentro del desarrollo del concepto BOPT es un reto importante que requiere de un adecuado entendimiento del protocolo clínico y de laboratorio. Este artículo pretende mostrar, mediante la presentación de un caso clínico, un protocolo de tratamiento que incluye la digitalización del protocolo tanto clínico como de laboratorio desde una impresión de la preparación vertical hasta lograr una restauración coronaria con un perfil de adaptación protética individualizado a través de un caso clínico con un periodo de seguimiento de 2 años.Publication Carillas cerámicas y BOPT: una relación con pronóstico favorable(2021) Abad Coronel, Cristian Gustavo; Vischia, Ferruccio; Roncoroni, FabioPublication Clinical outcomes of the biologically oriented preparation technique (BOPT) in fixed dental prostheses: A systematic review(2022) Abad Coronel, Cristian Gustavo; Palacio Sarmiento, Stefany Carolina; Villacis Manosalvas, Jeniffer Adriana; Pradíes, Guillermo; Loi, Ignazio; Esquivel, JonathanStatement of problem: The biologically oriented preparation technique is a concept with a vertical tooth preparation, gingitage, an immediate interim restoration preserving the clot, and a specific laboratory technique aiming to adapt the marginal periodontal tissue to a remodeled emergence profile of the crown. However, the published scientific evidence on this subject is limited. Purpose: The purpose of this systematic review was to analyze whether using the biologically oriented preparation technique leads to improved clinical outcomes in terms of probing depth, gingival inflammation index, gingival marginal stability, and fewer mechanical and biological complications. Material and methods: Recommendations from the preferred reporting items for systematic reviews and meta-analyses (PRISMA) guidelines were used in this systematic review. An electronic search of the MEDLINE/PubMed, EMBASE, Science Direct, Wiley Online Library, Cochrane, and ProQuest databases was made for articles published between March 2010 and July 2021 using keywords. Three reviewers selected and analyzed all articles that mentioned the biologically oriented preparation technique and met the inclusion criteria. Results: A total of 6 articles met the inclusion criteria: 1 prospective randomized clinical study, 1 randomized clinical study, 1 prospective clinical study, and 3 case series. According to these studies, of all the teeth treated with the biologically oriented preparation technique, probing depth (greater than 3 mm) increased in only 2.3%, gingival inflammation was present in 22.8%, gingival recession occurred in 1.7% (decreased gingival stability), and mechanical and biological failures occurred in 4.4% of the teeth. Conclusions: Fixed dental prosthesis treatments performed following the concept of the biologically oriented preparation technique did not increase probing depth and showed a moderate rate of gingival inflammation, lower recession rates, and lower mechanical and biological failures at the 5-year follow-up. The biologically oriented preparation technique appears to be a viable alternative technique for obtaining satisfactory and stable clinical results up to 5 years. Long-term randomized clinical trials are recommended to reach more conclusions about this protocol.Publication Comparative Analysis between 3D-Printed Models Designed with Generic and Dental-Specific Software(2023) Larriva Loyola, Jaime Alejandro; Abad Coronel, Cristian Gustavo; Pazan Morales, Domenica Patricia; Hidalgo Tamayo, Maria LorenaWith the great demand in the market for new dental software, the need has been seen to carry out a precision study for applications in digital dentistry, for which there is no comparative study, and there is a general ignorance regarding their applications. The purpose of this study was to investigate the accuracy differences between digital impressions obtained using generic G-CAD (general CAD) and D-CAD (CAD dental) software. Today, there is a difference between the design software used in dentistry and these in common use. Thus, it is necessary to make a comparison of precision software for specific and generic dental use. We hypothesized that there is no significant difference between the software for specific and general dental use. Methods: A typodont was digitized with an intraoral scanner and the models obtained were exported in STL format to four different softwares (Autodesk MeshMixer 3.5, Exocad Dental, Blender for dental, and InLAB). The STL files obtained by each software were materialized using a 3D printer. The printed models were scanned and exported in STL files, with which six pairs of groups were formed. The groups were compared using analysis software (3D Geomagic Control X) by superimposing them in the initial alignment order and using the best fit method. Results: There were no significant differences between the four analyzed software types; however, group 4, composed of the combination of D-CAD (Blender– InLAB), obtained the highest average (0.0324 SD = 0.0456), with a higher accuracy compared to the group with the lowest average (group 5, composed of the combination of the Meshmixer and Blender models), a generic software and a specific software (0.1024 SD = 0.0819). Conclusion: Although no evidence of significant difference was found regarding the accuracy of 3D models produced by G-CAD and D-CAD, combinations of groups where specific dental design software was present showed higher accuracy (precision and trueness). The comparison of the 3D graphics obtained with the superimposition of the digital meshes of the printed models performed with the help of the analysis software using the best fit method, replicating the same five reference points for the six groups formed, evidenced a greater tolerance in the groups using D-CAD.Publication Comparative analysis of fracture resistance between CAD/CAM materials for interim fixed prosthesis(2021) Abad Coronel, Cristian Gustavo; Carrera Calahorrano, Elena Alejandra; Mena Cordova, Nancy Cecilia; Fajardo Seminario, Jorge Isaac; Aliaga Sancho, Jenny PaulinaThe aim of this study was to evaluate and compare the resistance to fracture of interim restorations obtained through additive techniques (3D impressions) and subtractive techniques (milling) using a computer-aided design and manufacture (CAD/CAM) system of a three-unit fixed dental prosthesis (FDP) to ascertain its clinical importance. (1) Materials and methods: In total, 40 samples were manufactured and divided into two groups (n = 20) using: (1) light-curing micro hybrid resin for temporary crowns and bridges (PriZma 3D Bio Prov, MarketechLabs, São Paulo, Brazil) for the rapid prototyping group (RP) and (2) a polymethylmethacrylate (PMMA) CAD/CAM disc (Vipiblock Trilux, VIPI, São Paulo, Brazil) for the computer-assisted milling (CC). The resistance to fracture was determined with a universal testing machine. (2) Results: The strength and the standard deviation for the computer-assisted milling group were higher (1663.57 ± 130.25 N) than the rapid prototyping (RP) group, which had lower values of (1437.74 ± 73.41 N). (3) Conclusions: The provisional restorations from the computer-assisted milling group showed a greater resistance to fracture than the provisional restorations obtained from the rapid prototyping group.Item Comparative analysis of the fracture resistance of a polymeric material for 3D printing and a milled polymethylmethacrylate material as interim material for fixed partial dentures: new material updated(Universidad de Cuenca, 2023-12-12) Córdova Díaz, Johanna Mireya; Merchán Cabrera, Andrea Isabel; Abad Coronel, Cristian GustavoAbstract: The aim of this study was to evaluate and compare the fracture resistance of a temporary three-unit fixed dental prosthesis (FDP) made of a new polymeric material obtained by an additive technique (3DPP) using a computer-aided design and manufacturing (CAD/CAM) system, comparing the prosthesis to the respective outcomes of temporary polymethylmethacrylate (PMMA) FDPs obtained by a subtractive technique (milling). Methods: Three-unit FDPs were 3D printed using a polymeric material (n = 20) or milled using polymethylmethacrylate (n = 20). After thermocycling at 5000 cycles at extreme temperatures of 5 ◦C and 55 ◦C in distilled water, each specimen was subjected to a compression test on a universal testing machine at a rate of 0.5 mm/min until failure occurred, recording the value in newtons (N). Results: There were statistically significant differences (p-value < 0.005) between the PMMA material (2104.7 N; SD = 178.97 N) and 3DPP (1000.8 N; SD = 196.4 N). Conclusions: The fracture resistance of the PDFs manufactured from milled PMMA showed higher values for fracture resistance. However, the resistance of the 3DPP showed acceptable values under mechanical load; this notable advance in the resistance of printed materials consolidates them as an important alternative to use in interim indirect restorations.Publication Comparative Analysis of the Structural Weights of Fixed Prostheses of Zirconium Dioxide, Metal Ceramic, PMMA and 3DPP Printing Resin—Mechanical Implications(2023) Abad Coronel, Cristian Gustavo; Pacurucu Mendieta, Miguel David; Lupu Flores, Billy Darlin; Velez Chimbo, David AlejandroThe aim of this study was to determine the mechanical implications of four-unit fixed dental prostheses (FDPs) made of (1) monolithic zirconium dioxide (ZR O2), (2) polymethylmethacrylate (PMMA), (3) metal ceramic (PFM) and (4) impression resin (3DPP). Methods: Four groups were studied with eight samples for each material (n: 32). Each structure was weighed, subjected to compressive tests and analyzed using 3D FEA. Results: PMMA presented the lowest structural weight (1.33 g), followed by 3DPP (1.98 g), ZR O2 (6.34 g) and PFM (6.44 g). In fracture tests, PMMA presented a compressive strength of 2104.73 N and a tension of 351.752 MPa; followed by PFM, with a strength of 1361.48 N and a tension of 227.521 MPa; ZR O2, with a strength of 1107.63 N and a tension of 185.098 MPa; and 3DPP, with a strength of 1000.88 N and a tension of 143.916 MPa. According to 3D FEA, 3DPP presented the lowest degree of deformation (0.001 mm), followed by PFM (0.011 mm), ZR O2 (0.168 mm) and PMMA (1.035 mm). Conclusions: The weights of the materials did not have a direct influence on the mean values obtained for strength, stress or strain. Since the performance was related to the tension and forces supported by the structures in critical zones, the importance of considering design factors is clear. In vitro and 3D FEA assays allowed us to simulate different scenarios for the mechanical properties of certain materials before evaluating them clinically. Thus, they can generate predictions that would allow for the design of a better research methodology in future clinical trials.Publication Comparative Fracture Resistance Analysis of Translucent Monolithic Zirconia Dioxide Milled in a CAD/CAM System(2023) Ulloa Wilches, Ana Liz; Fajardo Seminario, Jorge Isaac; Abad Coronel, Cristian Gustavo; Paladines Diaz, Maria De los angeles; Paltán Zhingre, César AntonioThe aim of this study was to evaluate and compare the fracture resistance of definitive zirconia dioxide restorations obtained using a computer-aided design and manufacturing (CAD/CAM) system. Methods: Two groups of ten samples were analyzed for each material (n: 20); the first group was Zolid Gen X Amann Girrbach (ZGX) and the second group was Cercon HT Dentsply Sirona (CDS). The restorations were designed with identical parameters and milled with a CAD/CAM system. Each specimen was load tested at a speed of 0.5 mm/min, with a direction parallel to the major axis of the tooth and with an initial preload of 10 N until fracture using a universal testing machine (Universal/Tensile Testing Machine, Autograph AGS-X Series) equipped with a 20 kN load cell. The results obtained were recorded in Newtons (N), using software connected to the testing machine. Results: Statistically significant differences were found, and the fracture resistance of the monolithic zirconia crowns was lower in the CDS group (1744.84 172.8 N) compared to the ZGX group (2387.41 516 N). Conclusions: The monolithic zirconia CAD-CAM zirconia crowns showed sufficient fracture resistance when used in posterior molar and premolar zones with either material, as they withstood fracture loads greater than the maximum masticatory force.Publication Computer-aided design in restorative dentistry(Springer, Cham, 2019) Abad Coronel, Cristian Gustavo; Tamimi, Faleh; Pradies Ramiro, Guillermo Jesús; Hassan, Bassam; Ferreiroa Navarro, AlbertoAs 3D printing, computer-aided machining, and optical scanners keep improving and are becoming more accessible, design software is rapidly becoming the next frontier in digital dentistry. Rapid prototyping technologies in dentistry were initially operated with generic software that was not specifically designed for dental applications. This was very inefficient and a limiting factor for digitalization of dentistry. The arrival of specialized software for different dental applications has made digital dentistry a reality by making it efficient and bringing it to its full potential. This chapter addresses the different types of software that has been developed for restorative dentistry. This includes software for fixed, removable, and implant prosthodontics as well as software for treatment planningItem Desmitificando la evidencia científica, hacia su aplicación clínica(Universidad de Cuenca, 2018) Bravo Calderón, Manuel Estuardo; Abad Coronel, Cristian Gustavo; Reyes, Giuseppe
- «
- 1 (current)
- 2
- 3
- »
